Why You Should Think About Implant Dentistry

Did you know 3 Million Americans have received dental implants?
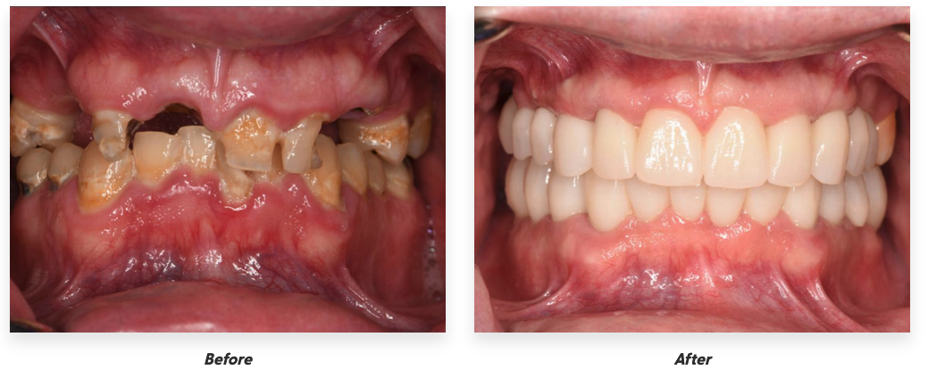
Implants are simply the best way to replace teeth because they can last your whole life if they are properly taken care of by good oral hygiene practices. That makes it cost-effective in the long run and saves you the time of having to go in to constantly replace inferior procedures. A dental implant will also prevent tooth slippage, keeps up jaw strength, and looks natural set amongst your actual teeth.

The procedure and recovery time might take longer but it is worth it in the end for all the benefits you and your mouth will get. No one will even be able to realize that the implants aren’t your actual teeth, which is a major bonus.
One of the core reasons for dental implants is to keep your attached teeth from slipping where they shouldn’t be. They also end up improving your smile for the same reason. There are actually five really good reasons for considering dental implants.
- The implant doesn’t rely on the teeth on either side of the gap in your mouth
- The implants are fused to the jawbone, it isn’t going to just fall out
- The dental implant actually looks as natural as your real teeth so it doesn’t stand out when you smile
- Getting dental implants also helps you bite with the right strength
- Dental implants make sure your jaw doesn’t collapse or shrink
Are you unsure about dental implants? Contact Dr. Ace Jovanovski for an appointment to discuss whether they are right for you.
The need for dental implants is simple. When a tooth is lost, the root is lost at the same time. A dental implant places an artificial root into your jawbone in order to create an anchor for a new fake tooth.
That helps prevent any changes in how your face looks because the new tooth prevented slippage. If you feel that dental implants might be right for you, contact Dr. Ace Jovanovski at Round Rock today.


