Why Choose
Jovan Prosthodontics
Choosing the right dentist and dental team can make the difference between seamlessly achieved, elite results and poor outcomes and constant frustrations.
If you pick Jovan Prosthodontics in Round Rock, TX, to be your provider, you receive expert care, cutting-edge technology, and reliably comfortable experiences at a stellar value.
Call or write to us to request your consultation and find out for yourself why so many see us as the solution to their dental issues.
5-Star Reviews From Round Rock, TX
As 2024 begins, reflecting on how grateful I am for Dr Ace & his exceptional team. This is a practice that does exceptional work with great care & pride. I have genetically missing teeth & a great deal of bone loss,-- my entire upper is bridges, crowns & implants. It's not an easy case & at nearly 60, I have had several prosthodontists but none compare to the quality, competence & care found here. The office team is a pleasure to deal with whether it's complicated coordinated scheduling. Insurance issues or fitting in unexpected crises. Happy new year. Dr Ace, Jeanine, Deanna, Pat. Bree, Anna & the entire team!
View on Google
Jovan Prosthodontics is a gem! From the warm welcome to the expert care provided by the entire team, my experience was outstanding.
The staff is friendly, the clinic is modern, and the attention to detail is impressive.
If you're looking for exceptional dental care, Jovan Prosthodontics is the place to go!
Since 2010, Round Rock Has Relied on Us
/
Dr. Ace Jovanovski opened the doors of our practice in 2010. Renowned for restoring the smiles of patients who have suffered from decades of dental neglect, he has now spent approximately 15 years providing elite cosmetic, implant, prosthodontic, and restorative dental care to patients from throughout Texas.
What Makes Ace First-Rate
Prosthodontics Expertise
Dr. Ace is a certified in the prosthodontic specialty, meaning he has an advanced ability to replace missing teeth and repair widespread oral damage. He obtained this specialization as one of just three students of his year to be accepted into Louisiana State University's prestigious prosthodontics residency.
Dr. Ace chose to undergo the extra years of training to become a specialist so he could confidently provide the elevated level of treatment that all of our patients–especially those who have been emotionally and physically traumatized–deserve.


Technology Mastery
Our dentist further optimized the standard of care he can provide by becoming the world's only dentist to receive a Master Certificate in Dental Technology (MCDT) from the National Board for Certification in Dental Technology after completing five separate dental technology specialties.
He then invested in several cutting-edge devices that allow him to deliver the best care possible. For example, he utilizes 3D oral scanning, 3D printing technology, and X-Nav-guided surgery to carry out incredibly accurate procedures. Dr. Ace also uses a variety of dental lasers to minimize bleeding and expedite recovery.
To further allow for the most customization possible, Dr. Ace operates his own in-house dental laboratory. This allows for convenient care without sacrificing quality for our friends and neighbors in Georgetown and surrounding areas.
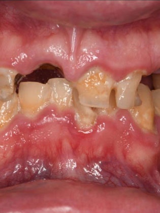
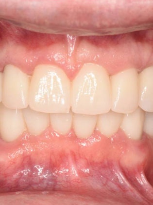
See Our Incredible Results
Request the Best In Texas
Dr. Ace offers a unique mixture of technological mastery and prosthodontics skills to provide life-changing treatment. Another aspect of what makes his service singular is the fact that our dentist specializes in combining procedures to obtain dramatic transformations.
At a consultation with our dentist, you will speak with a recognized expert who can identify your issues, address your worries, and simply explain even the most complex procedures. He can then plan out a dental roadmap that makes your journey to a beautiful, healthy, functional smile feel clear and achievable.
Are you ready to reclaim your smile and live in Georgetown or nearby? Call or write to us today.

Premier Dentistry Free From Insurance Interference
Far too often, insurance companies are not on the patient's side. Frustrated by the knowledge that insurers often interfere in care and cause unnecessary complications, Dr. Ace decided to eliminate them from his treatment process altogether.
He runs his Round Rock, TX, dental office as a fee-for-service practice, allowing our master dentist to provide any procedure a patient needs without needing insurance clearance. That being said, our expert administrators are happy to file insurance claims on your behalf to seek reimbursement.
Accepting Financing For Increased Affordability
CareCredit
CareCredit® is a third-party financing option that allows you to break down your dental payments into manageable monthly installments with little to no interest.
Proceed Finance
Proceed Finance offers dental loans as low as $2,500 to as high as $75,000, allowing patients to pay for everything from simple care to complex surgeries.
Calming Staff In a Comfortable Environment
To provide the first-rate experience Texas deserves, our master dentist Dr. Ace goes above and beyond by ensuring that his staff is compassionate and the atmosphere he maintains is extraordinarily relaxing.
From the second you enter our Round Rock office, you will be greeted by a welcoming support staff that takes great pride in making every patient feel as at ease and comfortable as possible.
Every inch of our office is also designed for patient comfort. In fact, many patients who have had nightmare experiences at overly clinical, outdated dental offices are somewhat shocked when they visit us and see that we offer a spa-like atmosphere. The amenities we offer include neck pillows, soft blankets, a refreshing beverage station, and private operating rooms equipped with televisions for your viewing pleasure.
Round Rock Leaves
Great Reviews
Absolutely the best dental experience I have ever had. Dr Ace did an almost full lower implant and it was one of the best decisions I have ever made. Worth every penney!
View on GoogleI've been going to Dr Ace for about 3 years now. I am a transplant to the area so Dr Ace and team picked me up with somebody else having done the work. I wish I had lived in Austin years ago and known about Dr Ace. This place is great, and I've recommended them personally so thought I'd recommend them on here also.
View on Google







