Are There Downsides to Dental Implants?

Dental implants are artificial tooth roots that support restorations like dentures, dental bridges, and dental crowns. They are often considered the gold standard for replacing your missing teeth as they have a host of oral health benefits.
I take patient education seriously at my Round Rock, TX, dental practice, which is why it's important that patients understand both the benefits and risks before they undergo any dental procedure. Let's go over the downsides to dental implants and discuss if the risks of treatment are outweighed by the benefits they provide.
What Are Some Drawbacks of Dental Implants?
Here are six potential downsides to getting dental implants that every patient should keep in mind.
- It Is a Surgical Procedure - Any surgical procedure carries a small risk of complications and infection. During your consultation, we will discuss these risks with you and determine if you might be at an increased risk due to health issues like immune system disorders.
- There Is a Risk of Implant Failure - This means that your implants will either fail to fuse to the jawbone in a process called osseointegration, or you may experience an infection that leads to implant failure.
- Healing Time - It typically takes about three to six months for your dental implants to fuse to the jawbone and heal.
- Second Procedure Required - Once osseointegration has occurred, you will need a second procedure to have the abutments attached to the implants. This will require another four to six weeks of healing time.
- Longer Treatment Timeline - Because dental implants require surgery and healing time, it takes a longer period of time to complete treatment. In most cases, you must be healed before your restoration is attached to the dental implants.
- Insurance Does Not Cover Dental Implants - Most dental insurance plans do not cover the actual dental implants themselves.
Do the Benefits of Dental Implants Outweigh the Risks?
I'd say yes, but this is a very personal decision that you must make with your dentist.
If you are healthy and do not smoke, dental implant risks and disadvantages are minimal.
During your initial consultation with me, I will examine your mouth and discuss your goals and health history to help customize your treatment plan and determine if dental implants are the right choice for you.
The Benefits of Dental Implants
- The biggest benefit of dental implants is that they are the only restorative treatment option that stops and prevents jawbone deterioration. This bone atrophy can occur with tooth loss, which can lead to the need for bone grafting if left untreated. Dental implants can prevent your need for more extensive treatment later.
- Dental implants also offer superior stability. With traditional dentures, patients rely on denture adhesive to keep them in place along the dental arch. This can mean your dentures can slip when you speak or eat. With implant-supported dentures, there is no risk of slippage and patients can enjoy maximum stability.
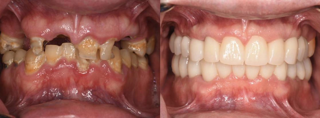
To get a better understanding of the benefits of dental implants, you can see the dramatic before and after results of implant dentistry in the patient images below.

Does Implant Placement Hurt?
Because it is a surgical procedure, some discomfort is to be expected as you heal. However, I will do everything I can to ensure you are comfortable during your treatment.
Here are some ways I can reduce your discomfort during treatment:
- Local Anesthesia - I will thoroughly numb the area before I proceed with treatment.
- Sedation Options - Sometimes patients just need an extra level of comfort during treatment. I offer nitrous oxide, oral conscious sedation, and IV sedation to ensure you are relaxed and comfortable throughout your procedure.
How to Minimize Your Risks When Getting Dental Implants
There are multiple ways to reduce the potential for complications from dental implant treatment.
Disclose Any Health Issues During the Consultation
It is also important that you disclose to me all your health issues. Patients should be in good health and issues such as diabetes must be under control. Please also let me or your care team know about any medications you take, as these can interfere with your body’s ability to heal.
Avoid Smoking and Chewing Tobacco
Quit tobacco products before implant placement. Tobacco use has been linked to an increased risk of dental implant failure. While the risk is still small at 11%, non-tobacco users have an even lower risk of implant failure at around 5%. Tobacco products can also cause further health issues which can lead to more extensive dental treatments later.
Proper Aftercare
You can minimize your risk of infections by following aftercare instructions, proper oral hygiene, and taking antibiotics if they are prescribed to you.
Immediately Report Any Early Signs of Implant Failure
If you experience any signs of infection after implant placement, prompt treatment can prevent implant failure. Signs of implant failure or infection include fever, excessive bleeding, excessive swelling, and significant pain that is not managed at home.
If you experience any of these signs, please contact me or your dental care team at Jovan Prosthodontics. They will inform me of your issues and I can provide proper treatment to reduce your chance of implant failure.
Same-Day Restorations Available
In some cases, we can place restorations on the day of your dental implant placement procedure. If you suffer from complete tooth loss, I am happy to discuss options like All-on-4® dental implants or same-day dental implant retained dentures.
Invest in Your Oral Health
While most dental insurance providers do not cover dental implants, they often cover the cost or some of the cost relating to the restoration. While my Round Rock dental practice is a fee-for-service practice, we can file an insurance claim for direct reimbursement. We also accept financing options like Proceed Fianance® and CareCredit® to help break the cost of your treatment into affordable monthly payments.
You Don’t Have to Live With Tooth Loss
Perhaps one of the most important aspects of dental implant placement is to find a skilled provider with experience in dental implants.
I have helped countless patients enjoy a beautifully restored smile with implant-supported restorations. I use advanced techniques and technology like our computer-aided surgical guide to place tooth implants with accuracy and precision. You can rest assured you are in great hands when you choose Jovan Prosthodontics for your dental implant treatment.
While there are several downsides to dental implants, for most patients, the numerous benefits outweigh those risks and are worth the healing time and wait.
Contact Us for a Smile Restoration
If you have considered dental implants but aren’t sure if they are right for you, take the first step. Request a consultation with me at my Round Rock, TX dental practice. Contact us online to get started on your smile restoration journey today.
About Ace Jovanovski, DMD
Dr. Ace Jovanovski is an experienced prosthodontist with a master certificate from the National Board for Certification in Dental Technology. He is a member of the American Dental Association and the American Academy of Implant Dentistry.
Read Dr. Jovanovski's Full Bio | All Posts by Dr. Ace Jovanovski


